Dental Implant Surgery – Sacramento, CA
A Lifetime of Confident Smiling
with Dental Implants
Unleash Your Smiles Full Potential
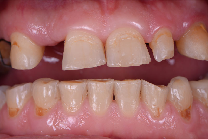
Missing teeth can be an unfortunate source of pain and discomfort. Not only does it affect one’s ability to chew and digest certain foods, but it can also have an impact on social interactions. People with missing teeth often shy away from smiling in photos, laughing, or speaking up in group settings, and even avoid eating in public altogether.
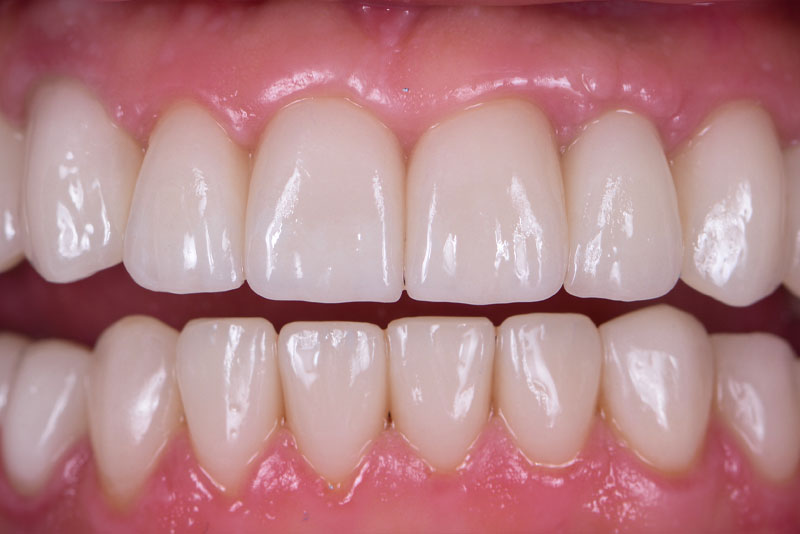
However, with the modern solution of dental implants, these issues can become a thing of the past. Our dental implants in Sacramento, CA allow for a natural look and feel, along with the ability to eat any type of food!

What Are Dental Implants?
Dental implants are an effective solution to missing or damaged teeth. Consisting of three parts – a post, abutment, and restoration – they offer a permanent, long-lasting alternative to traditional bridges or dentures. The post, which is made of titanium, is surgically implanted into the jawbone where it serves as a replacement root. The abutment is attached to the post, and the restoration – typically a crown – is attached to the abutment.
This combination creates a sturdy, stable, and natural-looking tooth replacement that allows patients to eat, speak, and smile with confidence. Not only do single and full-mouth dental implants offer functional benefits, but they also improve oral health by preserving the surrounding teeth and preventing bone loss in the jaw. With proper care and maintenance, dental implants can last a lifetime and transform a patient’s incomplete smile into a beautiful and healthy one.
Experience The Long-Term
Advantages of Dental Implants
- Provides a long-term, stable, and natural-looking smile
- Preserves bone and facial features
- Enables confident laughing, eating, and speaking
- Requires the same oral hygiene as natural teeth
- Eliminates ill-fitting traditional dentures
- Increases stability of modified dentures
Your Custom Implant Options

Single implants

Multiple Implants

Implant Supported Dentures

Full Mouth Dental Implants
Three Steps to a Five-Star Smile

Step One: Consultation & Planning
We initiate the dental implant process with a comprehensive consultation, during which we carefully listen to your concerns and aspirations. Through the utilization of cutting-edge technology such as digital scans, 3D imaging diagnostics, and a thorough oral examination, we develop a tailored treatment plan that focuses on addressing your unique requirements and restoring the healthy and aesthetic aspects of your smile. Open communication is key, as we believe in providing transparent information about the clinical situation, smile objectives, and the range of available treatment options. By fostering a collaborative approach, we ensure that you are actively involved in the decision-making process.

Step Two: Dental Implant Surgery
We’ll then begin with your procedure, which may include various treatments such as tooth extractions and bone grafting. To ensure your comfort throughout the process, we offer a range of sedation options for you to choose from. Matt combines his expertise with fully guided techniques to enhance efficiency and predictability, resulting in precise outcomes. In the case of full-mouth dental implants, we strategically position four to six posts, which serve as the foundation for your new set of teeth. This approach not only provides the strength and functionality of natural teeth but also minimizes costs and expedites the healing process. Following the implant placement, a temporary restoration is fitted, allowing you to immediately experience the benefits of your new teeth and enjoy your improved smile!

Step Three: Recovery & Final Prosthesis
Over the course of three to six months, your dental implants will fuse with your jawbone through a process called Osseointegration. This bonding is what enables dental implants to function so effectively, providing a level of security and stability that can’t be achieved with other tooth replacement options. Once your implants have fully healed, you’ll be able to receive custom-made restorations that blend seamlessly with your remaining natural teeth, allowing you to eat, speak, and smile with ease. With routine care, your dental implants will continue to serve you well for many years to come.

Top 5 Mistakes People Make With Dental Implants
Commonly Asked Questions on Dental Implants
Who is a Candidate for Dental Implants?
Dental implants are a great option for those with missing or damaged teeth. However, some factors such as gum disease or medical conditions may affect whether you’re a good candidate. We’ll discuss your individual situation during your consultation.
Do Dental Implants Hurt?
Our dental implant procedure is comfortable and virtually painless with the help of customized sedation dentistry services available. Following the surgery, patients may experience mild swelling and discomfort, which can be easily managed with medication. As the implants gradually integrate with the jawbone, they will function and feel just like natural teeth!
How Long Does Surgery Take?
On average, dental implant surgery lasts approximately 2.5 hours, while patients seeking a single dental implant can expect a procedure time of 1 to 2 hours. We prioritize patient comfort throughout the entire process, and our highly skilled dental professionals diligently work to deliver a successful outcome, guided by their expertise and commitment to excellence.
How Long is Recovery?
We understand your anticipation for a complete and stunning smile, but it’s important to note that the recovery period after implant surgery typically lasts up to three months. Once this integration is complete, we can proceed with crafting your final dental restoration, ensuring a durable, long-lasting solution that perfectly complements your implants!
Get Pricing And Options For Treatment
Affordable Access To Life-Changing Dental Implants
At times, the initial cost of dental implants may seem higher compared to other alternatives. But the advantages they offer in the long term are life-changing. With dental implants, you experience an immediate improvement in your self-esteem, oral health, and overall health. This makes it a highly sought-after option for tooth replacement. We understand the remarkable impact dental implants have, and that’s why we strive to provide access to affordable dental implants in our Sacramento, CA implant practice.
We take the initiative to file insurance claims on your behalf and work with financing companies to help break the payments into affordable monthly amounts. Matt and his experienced team here at Aria Dental Implants & Perio make receiving affordable dental implants more accessible in Sacramento, CA. There’s no need to wait and find out how much easier dental implants can make your life.
Find Out If You're A
Candidate For Dental Implants

"*" indicates required fields



